知識分享

All-on-4全口重建為何比活動假牙及一般植牙更佔優勢?

All-on-4全口重建為何比活動假牙及一般植牙更佔優勢?

隨著時代變遷與進步,人口缺牙問題有降低趨勢,但還是有不少中老年齡階層飽受牙周問題而間接導致缺牙,所以正確的治療方式依舊是人們所需要清楚了解的。All on 4全口重建是新一代的技術,由過往的活動假牙搭配植牙技術,成為接受率更高的治療方式。今天來帶您一併了解全口活動假牙、一般植牙與All on 4的區別。   活動假牙 患者能夠自行配戴或摘下清洗的假牙,當患者缺牙區範圍較大甚至已無任何牙齒,或是條件無法支撐起固定假牙或牙橋時,活動式假牙就能夠用來替代缺失的全口真牙,一般使用的材質為陶瓷或樹脂,一體成形讓患者方便攜帶及使用。   一般植牙 植牙是將人工牙根或是植體植入齒槽骨內,再裝置假牙後,能夠達到彌補缺牙的修復技術。通常全口無牙的患者,一個顎側需要至少8支甚至以上的植體以及搭配補骨,才可支撐全口固定式假牙,術後需等待半年以上的時間才可製作假牙。   All-on-4 一個顎側只需4支植體分布平均的植入於齒槽骨,可以不需進行補骨手術,並於術後裝上全口假牙,能夠在一天之內恢復美觀及正常咬合功能。   All on 4的好處   1. All-on-4看似昂貴,其實比起一顆顆植牙還要便宜。 All-on-4其實就是植體+全口假牙,但一個顎側只需植入4支植體,比起一顆顆植牙需要8顆以上,省下了一半甚至更多的費用。那與全口活動假牙比呢? 確實,全口活動假牙是比較便宜,但它並無植牙穩固,需依賴黏著劑固定,而且需要隨著患者的骨頭萎縮而重新更換基底,所以時間上的成本遠遠多過All on 4的技術。   2. All on4療程時間比你想像的還要短。 活動假牙所花的時間成本已於上敘述說明過,至於一般單顆單顆的植牙需要6~8個月的恢復期才可進行假牙製作,而如果齒槽骨萎縮嚴重,需依賴大量補骨後才能進行植牙,時間上的花費則會是兩倍以上,但All on 4卻只需要一天的時間,因為植入4支植體後,臨時的全口假牙能當場製作並且裝上,使等待傷口癒合期間,能夠同時擁有美觀及咀嚼功能,而癒合時間因無需補骨的關係,在半年內就能夠恢復並裝置上正式的全口假牙。   3. 只要好好保養,All on 4的假牙可以撐很久。 沒有任何治療是一勞永逸的,就像一般感冒治癒後沒有照顧好自己還是會再感冒,所以植體與假牙也是一樣的,只要平時好好的清潔與定期回診檢查,是可以用很久很久的喔。     All-on-4的缺點   1.需保值清潔 做完All on 4手術後,必須更加注意口腔清潔問題,如果食物殘渣導致細菌堆積在植體周圍,可能會破壞齒槽骨導致植體周圍炎,而植體的壽命就會減短。   2.術後的副作用 正常的植牙都是會有導致鼻竇炎及下嘴唇麻木的風險,不過經由醫師在手術前的專業評斷,這些風險都是高機率能夠被避免的。   3.需一次植完四顆植體 一般單顆單顆的植牙是能夠分次(天)進行的,但All on 4必須得一氣呵成,通常為早上植牙下午調整假牙,這樣當日就能夠戴上臨時的全口假牙,雖然要花費半天的時間,但是也同時為未來省下了更多時間。  

【隱形牙套懶人包矯】牙齒矯正正廠牌哪家好?

【隱形牙套懶人包矯】牙齒矯正正廠牌哪家好?

【隱形牙套懶人包矯】牙齒矯正正廠牌哪家好? 矯正廠牌百百種,微型矯正、輕型矯正、全口矯正有什麼部一樣? 隱形矯正與傳統矯正,選哪一個才好? 今天就來讓您知道市面上常見的矯正廠牌以及該怎麼選擇。 隱形矯正是甚麼? 隱型透明的牙套,使患者在矯正的同時也能不失美觀,甚至方便攜帶,而每一副牙套都能夠將牙齒一點一點的移動,達到秘密進行矯正的效果。 傳統矯正是甚麼? 利用矯正器一顆顆的附著於牙齒的表面,再搭配金屬矯正線固定於矯正器上,有助於醫師能靠夠著彎曲矯正線,使牙齒達到不同的移動的效果。   微型矯正 一般是指上下各八顆牙齒為主的矯正而後牙(大臼齒)並不會矯正到,但牙套一樣是全口的牙套,因為牙套對於後牙的包覆能夠達到如維持器一樣的效果。 微型矯正適合: 1. 後牙咬合工整但前牙比較凌亂 2. 比較在乎門面,沒有太在意後牙的排列 3. 預算問題,想先矯正門面,未來在矯正後牙   常見廠牌: Zenyum 價格: $65,000   輕型矯正 是指全口都能以微調的方式進行矯正,能夠達到除了門面的牙齒以外,後牙也一併調整,使全口都有達到矯正的效果。 這樣的矯正適合: 1. 全口都需要矯正,但牙齒並未過度凌亂。 2. 只想要微調,只求正常的外觀及咬合,不求完美精緻。 3. 預算問題,認為比起花大錢才能整好整滿的全口矯正,輕量的調整就已足夠。   常見廠牌: Ya-Smile、歐奈恩 價格: $150,000以內   全口矯正 一般是指前後牙都需要被大幅度調整,比起微型矯正或輕型矯正,全口矯正的準確度及成功率會來得更高。 這樣的矯正適合: 1. 全口牙齒都需要矯正,牙齒凌亂程度高。 2. 希望美觀及咬合都要能接近完美比例。 3. 為了達到更好的效果,能夠接受拔牙的可能性,以便騰出足夠的空間讓牙齒移動及排列。   常見廠牌: 隱適美、SOV舒服美、時代天使、宜可麗、戴蒙 (新型傳統矯正) 價格: 普遍價位於$160,000~$250,000;少數$250,000以上。依難易度區分 傳統矯正價格位於$130,000~$1600,000   隱形矯正與傳統矯正怎麼選?   隱形矯正與傳統矯正最大的區別就是美觀及舒適度,如果您覺得傳統金屬矯正器會讓牙齒不好看,那麼隱形矯正一定是最好的選擇,加上它的舒適度比較高,牙套包覆整個牙齒好過矯正器凸出於牙齒表面,導致口內會有破皮的可能性。但是傳統矯正器也並不是一點好處都沒有的,隨著科技進步,過往讓人磨破嘴皮的矯正器已漸漸淘汰,現在的設計更為圓潤及小顆,甚至還推出陶瓷的矯正器,能夠接近牙齒的顏色,使外觀沒有太過明顯凸出的紋路。   基本上不管是傳統矯正或是隱形矯正都各有優缺點的。傳統矯正的舒適度與美觀雖然不及隱形矯正,但隱形矯正的牙套是不耐高溫及會染色的,所以不管是吃東西及喝熱飲與含色飲料時都必須要將牙套拿下來,戴回去時須先清潔牙齒,以防細菌因密閉空間而滋生,造成牙齒變黃及蛀牙,而牙套的配戴時長須為每天20~22個小時才有成效,也就是說,隱形矯正所需要的自主性會比傳統矯正要來的更高,因為傳統矯正是每個月回診由醫師檢查及做調整,而隱形矯正是仰賴病人自我時間控制,雖然不用每個月回診,但一副牙套配戴的時長如果不夠,會影響到下一副牙套開始配戴的時間,而導致矯正總療程的時間變得更久,所以兩種矯正方式各有好壞,就得看您怎麼取捨了。 下面就來為您整理出傳統及隱形矯正的各個優缺點。   傳統矯正的優點 1. 價格比隱形矯正較便宜 2. 遺失的機率小 3. 矯正器24小時黏固在牙齒表面,矯正金屬線不停地作用力於牙齒上,能讓牙齒移動達到更快的速度與成效 4. 不太需要病患操作,只需每個月回診由醫師調整矯正金屬線   傳統矯正的缺點 1. 美觀不足 2. 不易清潔 3. 矯正器凸出容易造成口腔破皮 4. 無法咬太硬的食物   隱形矯正的優點 1. 輕便且美觀 2. 牙套包覆整個牙齒不會有口腔破皮的可能 3. 回診次數少,無須每個月都回診 4. 攜帶方便,可自行拆下及戴上   隱形矯正的缺點 1. 依賴數位化模擬及3D列印,所以價格較高 2. 遺失機率高,牙套透明且放在衛生紙上可能會與其他垃圾一同丟掉 3. 損壞機率高,牙套透明且不小心壓到可能造成變形而無法使用 4. 矯正總時長仰賴病人自主性 5. 吃東西與喝飲料須將牙套拿下,以防咬破及染色

牙齦萎縮怎麼辦?

牙齦萎縮怎麼辦?

牙齦萎縮是指原本覆蓋在牙根表面的軟體組織(牙齦),因為各種因素導致部分消失,在外觀上可以看見牙縫變大(黑三角)、牙根外露、瓷包金屬類假牙邊緣外露等等,也可以明顯發現當食用冷熱酸甜等食物飲品會感到牙齒痠痛、刷牙時牙齒疼痛甚至牙齦流血。   牙齦萎縮的原因 牙周病! 而造成牙周病的原因為: *清潔不佳導致牙結石的累積。 *長期酗酒與抽菸。 *牙齒生長凌亂不易清潔。 *牙冠邊緣不密合易累積細菌。 *矯正過程中清潔不徹底。 *牙齦先天薄弱易發炎。   外力也能是造成牙齦萎縮的原因: *骨頭、指甲、牙籤等異物傷害。 *活動假牙不合與長期壓迫。 *繫帶過度的拉扯。   改善牙齦萎縮與治療的方式: *注重清潔並使用正確的方式清潔。 *借掉不好的生活習慣,如抽菸與酗酒等。 *牙周治療(牙周清潔刮除、雷射治療、牙齦覆蓋與增長) *矯正牙齒可改善黑三角。 *輕微的黑三角也能使用樹酯填補。 *製作密合的牙冠與合適的活動假牙。   牙周病是可以預防的,雖然隨者年紀增長牙齦萎縮不可抗,但是萎縮的速度是可以被控制的,只要定期檢查口腔,提早發現病灶就能提早治療,以免日益惡化導致全口無牙。

牙齒美白的方式有哪些?

牙齒美白的方式有哪些?

現代人越來越注重自己的容貌,而牙齒也不例外,尤其對亞洲人來說,牙齒美容逐漸成為了一種趨勢,最常見的〝牙齒美白〞讓人賞心悅目,但除了一般的冷光美白,還有甚麼其他的方式能使牙齒達到美白的效果呢? 普遍的方式有: 冷光美白、陶瓷貼片、以及噴砂美白。     1. 冷光美白 以35%以上的過氧化氫與光敏的催化劑,搭配藍光的照射,使藥劑能夠滲透牙齒表面將牙齒變白。美白的效果依過氧化氫的劑量而定,濃度越高越白,但也會因法瑯質的侵蝕造成敏感性牙齒,所以建議冷光美白的療程不可太常使用,盡量每隔一年使用一次療程即可。   2. 陶瓷貼片 是由客製化的陶瓷材質,不論是顏色或輪廓都能依個人外觀及需求製作,而厚度是僅約0.3 mm ~ 0.7 mm薄片,貼於修磨過的牙齒表面可同時完成牙齒美白與輕微矯正的效果。市面上陶瓷貼片單一的價格從$25000~$30000不等,甚至更貴,但是因為每一顆都需要經由醫師及技師的審美觀與技術,才能製作出適合每個人不同的微笑曲線。   3. 噴砂美白 利用含有碳酸氫鈉的極細微顆粒與高壓水柱,搭配噴砂機以高速度噴除牙齒表面的色素沉澱,能夠去除飲品的染色、菸垢、檳榔垢等。價格比起冷光美白與陶瓷片相對便宜許多,因為噴沙並不能將牙齒變白,只能將其恢復至原有的顏色,然而許多人因為汙垢的關係使自己產生了牙齒很黃的錯覺,所以噴砂療程結束後會發現自己的牙齒變亮變白,這也就是噴砂能夠被列為美白療程的原因。   無論什麼樣的美白都需要好好維持與保養   1. 冷光美白的保養方式除了清潔與每年定期保養以外,也可使用居家美白藥劑保養,由於過氧化氫含量是16%或以下,患者是可以買回家自己使用的,所以如果害怕冷光美白療程結束撐不到一年牙齒會反黃,居家美白就會是一個不錯的選擇。 2. 陶瓷貼片的保養方式莫過於別吃太硬的東西以及小心磨牙的可能,貼片畢竟是外來的物體黏著於牙齒表面,自身的牙齒都可能因錯咬、咬硬物以及夜間磨牙導致牙齒被磨平甚至斷裂的可能,更何況是貼片呢? 所以小心使用很重要。 3. 噴砂美白的保養方式除了清潔還是清潔,牙齒的染色與汙垢都是日積月累造成的,只要平時多刷牙漱口並使用牙線,就能減緩牙齒有髒汙附著與泛黃,不過刷牙要記得不能太大力,如果不知道怎麼刷牙才是正確的,可以在定期檢查的時候詢問牙醫師喔。   定期檢查最實在! 每半年到牙科診所或是醫院讓醫師洗牙檢查,能夠改善個人清潔上的問題,不只維護牙齒的外觀還能延長它的壽命。

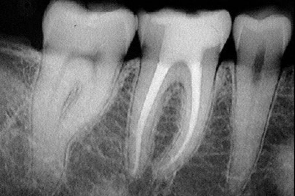
為什麼根管治療完的牙齒一定要做牙冠? 是因為根管沒治療好嗎?

為什麼根管治療完的牙齒一定要做牙冠? 是因為根管沒治療好嗎?

其實並不一定是強制性的每一個根管治療完的牙齒都要做牙冠(假牙),問題是在於患者本身是否真的確定會好好保養不讓牙齒再次感染,以及是否不會因為錯咬或咬到硬物而導致牙齒斷裂。   牙冠的用意 先來瞭解為什麼醫師通常會〝建議〞根管治療完要套上牙冠。牙冠有分為全金屬冠、瓷包金屬、全瓷冠、氧化鋯,但不管是什材質的牙冠都有一個共同的作用,就是〝保護牙齒〞。做完根管治療的牙齒會變得比正常牙齒脆弱,因為在抽牙髓(神經)時,牙髓裡補給養分的血管也會一同被清理掉,所以失去生命的牙齒就會變得易裂及細菌感染,而為了不讓根管治療完的牙齒承受未來可能會斷裂與感染的風險,牙冠就起了最好的保護作用。 如何知道根管治療有沒有做好? 一般的x光片上只會顯示兩種顏色,黑(灰)與白,根管通常會顯示黑色的,而當根管治療完成前,牙根會填補上一種絕緣材料(馬來乳膠),這種材料會將原本黑色的根管變成純白色的,越白表示填補物越緊實,也表示醫師根管治療的功力越好,但也要注意看填補物是否有超過牙根,一般都會預留0.5 mm ~ 1.0 mm 的距離,如果超出牙根,會使填補物刺激周圍組織導致發炎,如果太短會因為阻力不平均,進而使牙根尾部斷裂,所以根管治療是一門不容易的技術,尤其當遇到牙根彎曲或是根管過細時,醫師所需要的治療時間也會變得更長。 既然都放入填補物了,為何還要做牙冠? 甚至置入牙釘? 很多人確實都有這樣的疑問,但是單純填補已被挖空的牙齒,真的足夠保護其他還未被傷害的齒質甚至是整顆牙齒嗎? 這個就是問題所在,每個人的飲食 習慣不同,喜歡咬骨頭、吃有嚼勁的食物、或是咬指甲,這些對牙齒來說殺傷力都是很大的,加上填補物與齒質之間的縫隙會隨著時間變大,就像水泥能使磚塊黏合,但隨著時間會慢慢風化脫落,何況牙齒是悶在潮濕的口腔環境裡,而細菌會在縫隙裡滋生,導致發炎感染,所以牙冠的重要性就是在此,能夠保護牙齒的咬合面,減少不必要的意外與日後的感染風險。至於牙釘的重要性為何? 傳統的牙釘是金屬與牙冠一體成形的,現在是使用一種玻璃纖維的材質,主要是能夠強化鞏固牙根承受咬合的壓力,但它是能被選擇的,如果根管治療做的夠好,是可以不一定要置入牙釘的,但就像買保險一樣,不知道意外何時會發生,為了能夠放心的飲食,置入牙釘會是一個延續牙齒穩固的選擇。   不管是牙冠還是牙釘,根管治療做好最重要! 隨著科技的更新,根管治療的方式也隨之進步,為了避免治療失敗甚至是能更精準的將根管治療做到完美,『顯維根管』的推出就變成〝特別〞根管的救星,特別根管像是過度彎曲、多重根管或纖細的副根管...等,顯微鏡能夠讓醫師清楚的看見根管的路徑,使根管治療過程變得更順利,成功率也會相對比一般治療方式提高更多。然而顯微根管的費用並不便宜,因為除了醫師的技術也外加了器材的費用,所以保護牙齒很重要,須要做根管治療的牙齒基本上離它被宣判死亡(拔除)可能只有一線之隔,牙齒沒了就真的沒了,恆齒不會再生,得靠假牙或植牙輔助,但只要好好保護與使用的情況下,做過根管治療的牙齒卻是可能留在口內一輩子的。

什麼是活動式假牙? 什麼又是固定式假牙?

什麼是活動式假牙? 什麼又是固定式假牙?

假牙是用來取代已缺失的牙齒,但是假牙的形式有很多種,一般分別為活動式與固定式,要怎麼分辨與選擇呢?   活動式假牙 通常泛指為傳統全口假牙或是部分假牙,由人工牙齦為基底,藉由吸力附著於齒槽骨,能夠使病人自行戴上或拆卸。它輕巧方便,有利於清潔及保養,價格上也相對便宜,但由於是大面積性的包覆,活動假牙在口內多少都會有異物感,加上隨著每日拆卸與骨頭日漸地萎縮,活動假牙會需要調整甚至是重新製作的可能,所以對於許多不想花太多時間成本的病患來說,活動假牙並不一定是一個最好的選擇。   固定式假牙 固定式假牙主要有三個種類: 1. 牙橋 是指兩顆以上相連的牙套(假牙),當缺牙部位的前後保有自然牙齒,將其磨除些許外圍並作為端點,缺牙的部位會製作一顆或以上的假牙,全部連在一起後,我們稱之為牙橋。 牙橋普遍用於不適合或無意願做活動假牙的患者,但由於是全部相連的,在清潔上無法使用牙線,這看似很方便,但缺牙部位的假牙會隨著細菌的積累導致與牙肉不密合(萎縮),而其中一顆出了問題,就像生命共同體一樣,其他顆也要跟著一同被處理。   2. 植牙 植牙是將人工牙根或是植體植入齒槽骨內,再裝置假牙後,能夠達到彌補缺牙的修復技術。雖然單顆的價位較高,但是比起牙橋的一體成形以及要犧牲前後牙的齒質,植牙是更容易清潔與保養的,甚至不會影響到其他牙齒,壽命也可能比單純的假牙來得更長久。   3. All on 4 全口重建 植牙全口重建是一種先進技術,藉由植體做為全口假牙的支撐,一個顎側只需4支植體分布平均的植入於齒槽骨,可以不需進行補骨手術,並於術後裝上全口假牙,能夠在一天之內恢復美觀及正常咬合功能。這樣的固定式假牙慢慢地取代了活動假牙,讓患者能不再煩惱假牙不合,甚至不再需要使用假牙黏著劑,避免了顎側過度摩擦。   任何口內的治療,最怕的就是牙周不好。   不管是活動假牙或者是固定式假牙,骨頭及牙齦的條件是很重要的,萎縮的快慢決定了假牙與植體的壽命,希望它能永遠不壞,除了醫師的技術也要看病患的自治力,定期回診檢查與保養能提早發現問題所在。 身體的健康很重要,口腔也是健康的一部分,定期回診檢查,只要好好照顧牙齒的健康,植牙或假牙就能不被需要的!